|
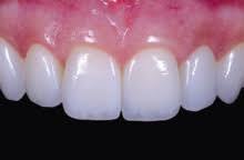
う蝕治療の後の充填物・補綴物の修復材料の一つです。セラミックスによる修復は大きく分けて金属の裏打ちを行う方法(メタルボンド)とすべてセラミックスのみ(オールセラミックス)で行う方法があります。e-maxによる修復はオールセラミックスで行います。主成分は二珪酸リチウムガラスです。修復材料で必須であるところの「強度」は360〜400パスカルでほぼ天然歯に近い値です。そのため残存歯に過剰な負担をかけたり、残存歯を過剰に咬耗させることが少ない素材です。
歯の修復材料のもう一つの要件は天然歯に近い自然感ですが、e-maxは透明感が高く、かつ色調の調整が可能ですから、歯列の中できわめて高い親和性を持っています。また金属ではないので金属アレルギーの心配はなく、また金属イオンが溶け出して歯肉辺縁部を黒く変色させることがありません。
よく似た材料に「ジルコニア」がありますが、e-maxは強度の点ではジルコニアに劣りますが、審美性(透明性)の点ではジルコニアより優れています。ただし、欠損補綴であるブリッジには適用できません。またいまのところ健康保険治療の適用は受けられません。

|