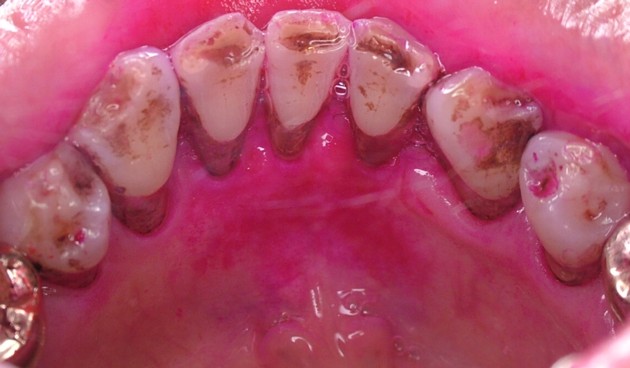
■ 色素沈着 ■

 飲食物や嗜好品(コーヒーやお茶など)、体液中に含まれるメラニン色素などが歯面上に沈着したものです。直接的には為害作用はありませんが、審美性の問題や、あまり厚く沈着すると歯垢が付着しやすくなります。歯磨剤の的確な使用や歯科医師や歯科衛生士による歯冠研磨できれいになります。写真は下顎前歯の内側に見られる色素沈着です。