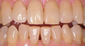
■ ホワイトニング ■

      
ホワイトニングはブリーチとも別称され、簡単に言えば変色歯もしくは生まれつき黄ばんでいる歯をより白くすることです。
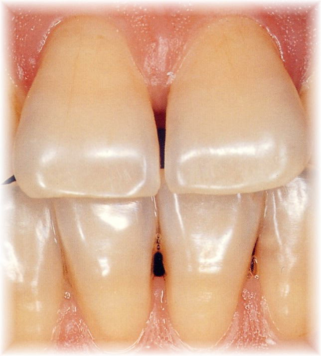
 変色には歯の面に着色物質が付着して生じるものと、歯質自体が内面から変色するものとがありますが、前者は歯の機械的クリーニング(PMTC)で色調の改善が可能ですが、後者は漂白剤を用いた化学的な処置が必要となります。ホワイトニングは後者に対する処置です。
 当院では「オパールエッセンス」というホワイトニングシステムを使って行っています。
 ホワイトニングは歯科医院で医師が行うオフィス・ホワイトニングと、医師の指導の下に患者さんが自宅で行うホーム・ホワイトニングとがありますが,当院ではもっぱらホームホワイトニングを推奨しています。
 使用する漂白剤の成分は10%から20%の過酸化水素です。
 オフィス・ホワイトニングのチェアタイムは1回30分から50分で1週間に1回で3〜6回くらいです。ホーム・ホワイトニングはカスタムトレーというマウスピースのようなものに漂白剤を塗って夜間睡眠中に(通勤時でも入浴中でもかまいません)装着するものです。
 どんな変色にも有効とは限りませんし、白くなり方もさまざまですが、症例さえ適していれば必ず白くなります。また決して危険なものではないので、変色に悩んでいる方はどうぞご相談ください。まれに知覚過敏を起こすことがありますがそれに対する処置も講ずることができます。
 
 なおこの処置は保険診療の対象ではありません。